© 2020- Tutti i diritti riservati

Il mio sito web

PrivacyCookieInformativa Legale

Il mio sito web

TIPI DI TRATTAMENTO
  • Farmaci anti-infiammatori, crioterapia locale (controllo del dolore e dell’infiammazione)
  • Terapia fisica e riabilitazione (controllo del dolore e dell’infiammazione, limitazione ipotrofia muscolare, mantenimento del ROM, cioè del movimento articolare)
  • Artrocentesi (in presenza di idrartro abbondante e successiva infiltrazione di un cortisonico)
  • Infiltrazione intra-articolare con acido ialuronico (terapia di mantenimento)
  • Medicina rigenerativa, ancora in fase di sperimentazione (infiltrazioni con PRP, cellule mesenchimali prelevate da tessuto adiposo e da midollo osseo, monociti)
  • Intervento chirurgico di Artroscopia (artroplastica di regolarizzazione, sinoviectomia, asportazione corpi liberi, utile nei casi non gravi, da valutare bene oltre i 70 anni di età)
  • Intervento chirurgico di Osteotomia (serve a correggere alterazioni dell’asse dell’arto ed a modificare le linee di carico, è indicato nelle artrosi monocompartimentali)
  • Intervento chirurgico di Protesi monocompartimentale mediale e/o laterale  (indicata nelle fasi avanzate di artrosi monocompartimentali e nelle necrosi ossee di limitata estensione tipo CFM)
  • Intervento chirurgico di Protesi totale di ginocchio (indicata nelle artrosi avanzate e diffuse a tutta l’articolazione, con deformità della stessa)

Degenerazione della cartilagine articolare Artrosi del ginocchio o Gonartrosi )

  • L’ Artrosi è una malattia degenerativa articolare a carattere evolutivo, che origina dalla cartilagine articolare che tende ad assottigliarsi e a perdere le proprie caratteristiche biomeccaniche, e con il tempo coinvolge le altre componenti dell’articolazione. Nelle fasi avanzate della patologia l’osso diventa progressivamente più denso (sclerotico), la membrana sinoviale va incontro ad una sinovite reattiva, spesso si formano gli osteofiti periarticolari e cavità cistiche (geodi) nell’ osso sub-condrale.  L’ esposizione dell’osso sub-condrale e delle terminazioni nervose sensitive sono responsabili del dolore e dei rumori di scroscio nei movimenti articolari. Il rimaneggiamento osseo può comportare una progressiva deformità per alterazione dei rapporti articolari e dell’asse di carico      ( ginocchio varo o valgo), oltre che limitazione del movimento ed atteggiamenti viziosi dell’articolazione ( ginocchio flesso )

Clinicamente il sintomo principale è il dolore che, saltuario nelle fasi iniziali ( caratteristico  andamento in tre tempi ), diventa sempre più frequente ed intenso fino ad essere continuo e anche notturno e può accompagnarsi ad una zoppia di fuga  durante la deambulazione. Sono presenti la limitazione funzionale con la riduzione della mobilità articolare  e la rigidità articolare. Presenza di eventuale idrarto, aumento di volume dell’ articolazione e nelle fasi avanzate sviluppo di deformità articolare.

La diagnosi viene posta mediante  una visita accurata e si avvale principalmente dell’esame radiografico da effettuare sotto carico ed in comparativa con il ginocchio controlaterale. A giudizio dell’ ortopedico può essere utile un esame RMN per approfondimento diagnostico. 

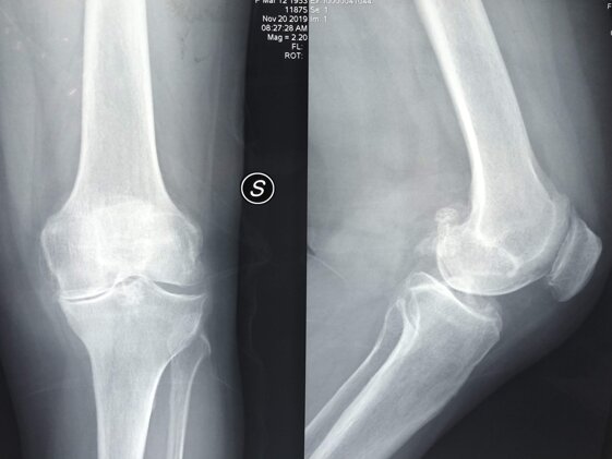
A sinistra radiografie pre-operatorie che evidenziano una grave gonartrosi diffusa con presenza di osteofiti periarticolari e deformità associata (ginocchio varo). 

A destra radiografia post-operatoria in AP di intervento chirurgico di Artroprotesi di ginocchio cementata, unico trattamento possibile con pz che presentava dolore continuo e zoppia. Ho utilizzato una protesi con risparmio del legamento crociato posteriore (CR) chiamata Persona  in quanto molto anatomica, cioè rispettante l’anatomia del ginocchio del pz.

f37e10e7-075c-425e-9f30-2e18aab66542
6d54bbc0-2e61-4867-806a-2ca81536ac75
  • Merita una breve menzione la Cisti di Baker che, solitamente localizzata nel cavo popliteo, in realtà deriva da una estroflessione posteriore della membrana sinoviale e che più che un’entità patologica in se stessa può essere espressione di una patologia articolare intrarticolare per lo più di natura artrosica. È raramente sintomatica e non necessita quasi mai di asportazione chirurgica (solo se molto voluminosa e quindi sintomatica)
TIPI DI TRATTAMENTO
  • Farmaci anti-infiammatori, crioterapia locale (controllo del dolore e dell’infiammazione)
  • Terapia fisica e riabilitazione (controllo del dolore e dell’infiammazione, limitazione ipotrofia muscolare, mantenimento del ROM, cioè del movimento articolare)
  • Artrocentesi (in presenza di idrartro abbondante e successiva infiltrazione di un cortisonico)
  • Infiltrazione intra-articolare con acido ialuronico (terapia di mantenimento)
  • Medicina Rigenerativa, ancora in fase di sperimentazione (infiltrazione con PRP, cellule mesenchimali prelevate da tessuto adiposo e da midollo osseo, monociti)
  • Intervento chirurgico di Artroscopia (artroplastica di regolarizzazione, sinoviectomia selettiva, asportazione corpi liberi, non utile oltre i 70 anni di età)
  • In caso di Osteocondrite Dissecante, inizialmente il trattamento è conservativo con riposo e controllo della progressione della lesione, il trattamento chirurgico può trovare indicazione per favorire la vascolarizzazione o per fissare il frammento per prevenirne il distacco, in caso di corpo libero si dovrà rimuoverlo associando o meno interventi in grado di ricostituire la porzione di cartilagine mancante
  • Intervento chirurgico di Perforazioni o Microfratture osteocartilaginee (eseguite preferibilmente per via artroscopica alla scopo di stimolare la rigenerazione della cartilagine articolare)
  • Intervento chirurgico di Innesti osteocondrali e trapianto di condrociti autologhi    ( indicato nei gravi difetti osteocondrali delle zone di carico, come i condili femorali, di dimensioni limitate, al massimo 1cm^2)

Lesioni della cartilagine articolare 

  • Le  lesioni della cartilagine articolare  si localizzano nelle aree di carico o di maggior attrito tra i capi ossei ed interessano zone limitate di cartilagine. Sono più colpiti soggetti in età giovanile o media, particolarmente quelli dediti ad attività sportive. Merita una menzione l’Osteocondrite dissecanteun difetto di ossificazione di una porzione di osso sub-condrale più frequentemente nel CFM e che colpisce per lo più soggetti di sesso maschile e nella seconda decade di vita. Il frammento osteocondritico, di dimensioni variabili da pochi mm a un cm, può demarcarsi ed eventualmente distaccarsi formando uno o più corpi liberi intra-articolari o andare incontro a guarigione spontanea

Clinicamente nelle piccole lesioni il dolore può essere poco intenso e poco presente, ma con il progredire della patologia o durante attività fisica il dolore diventa frequente e più intenso e può accompagnarsi alla limitazione funzionale e talora ad idrarto ( un eccessivo accumulo di liquido sinoviale all’interno dell’articolazione che comporta tumefazione, limitazione della mobilità articolare e dolore ) causato dai frammenti di cartilagine che si distaccano dalla superficie articolare. 

La diagnosi viene posta mediante una visita accurata e si avvale principalmentela della RMN ad alta risoluzione. 

TIPI DI TRATTAMENTO
  • Farmaci anti-infiammatori, crioterapia locale (controllo del dolore e dell’infiammazione)
  • Terapia fisica e riabilitazione (controllo del dolore e dell’infiammazione e mantenimento del tono muscolare)
  • Intervento chirurgico di Meniscectomia selettiva in Artroscopia (consiste nell’asportare la porzione di menisco rotta o degenerata e nella regolarizzazione del residuo, si eseguono piccole incisioni, l’anestesia è locale o locoregionale e la ripresa del carico e della deambulazione è immediata)
  • In caso di lesione periferica comprendente la porzione vascolarizzata del tessuto meniscale si può effettuare un intervento di Sutura meniscale in Artroscopia (decorso post-operatorio più lungo ma che consente di preservare il menisco con conseguente riduzione del rischio di degenerazione cartilaginea delle superfici articolari)
  • In caso di blocco articolare irriducibile è necessario l’intervento chirurgico, da effettuare il più rapidamente possibile, di Asportazione in Artroscopia del frammento di tessuto meniscale dovuto alla lesione meniscale a “manico di secchia” (più frequente a carico del menisco interno) o del corpo libero endoarticolare esito di distacchi osteocondrali o di osteocondriti dissecanti.
  • In soggetti giovani e con grave perdita di tessuto meniscale è possibile effettuare intervento chirurgico di Trapianto meniscale in Artroscopia

Patologia meniscale congenita e post-traumatica o degenerativa

  • Le malformazioni congenite dei menischi possono essere osservate soprattutto a carico del menisco esterno che assume una conformazione a disco ripieno (menisco discoide) e che può andare incontro a rottura soprattutto in adolescenti che praticano attività sportiva
  • Le lesioni post-traumatiche sono dovute a meccanismi di compressione e torsione, più comunemente i traumi distorsivi e l’estensione del ginocchio partendo dalla posizione accovacciata. I tipi di lesione sono evidenziati nell’immagine sotto
  • Le lesioni degenerative sono conseguenti alla minore elasticità e all’usura che avviene con il passare degli anni ed avvengono anche in assenza di traumi significativi. La sede più frequente è il corno posteriore del menisco interno con lesioni complesse. Importante distinguere le lesioni isolate dei menischi da quelle associate ad una gonartrosi grave che diventa così la patologia da trattare
  • Possibile il riscontro di una lesione del corpo-corno posteriore del menisco esterno associata ad una cisti meniscale

Clinicamente il sintomo predominante è il dolore a livello dell’emirima interna o esterna in base al menisco interessato. Il blocco articolare meccanico in flessione con impossibilità ad estendere il ginocchio è tipico delle lesioni a “manico di secchia” legato all’interposizione di un frammento di menisco fra femore e tibia. Frequente è l’ipotrofia del quadricipite. Meno frequente è l’idrartro.

La diagnosi e’ posta con una visita accurata effettuando tests specifici e con l’ausilio delle RMN.

A sinistra immagine raffigurante i vari tipi possibili di lesioni meniscali del ginocchio che verranno trattate con intervento chirurgico in artroscopia come nell’immagine a destra.

d4516304-d293-40c2-b742-323de2599943.jpeg
0e200340-7adf-49b5-aee5-4b1a632d73ef.jpeg
TIPI DI TRATTAMENTO 
  • Farmaci anti-infiammatori, crioterapia locale (controllo del dolore e dell’infiammazione)
  • Terapia fisica e riabilitazione (controllo del dolore e dell’infiammazione, recupero nelle lesioni di I e II grado)
  • Magnetoterapia in caso di edema della spongiosa, anche in preparazione di un intervento chirurgico
  • Trattamento conservativo con eventuale immobilizzazione con tutore nelle lesioni di I e II grado
  • Intervento chirurgico di Ricostruzione legamentosa nelle lesioni di III grado con lassita’ articolare
  • In particolare La ricostruzione in Artroscopia del Legamento Crociato Anteriore è oggi uno degli interventi più praticati in Traumatologia dello Sport, con percentuali di successo molto elevate. Viene effettuato nei casi di lesione di alto grado con instabilità del ginocchio in pz giovani o meno giovani che praticano attività sportiva agonistica o amatoriale. Per la ricostruzione chirurgica si utilizzano prevalentemente la porzione centrale del tendine rotuleo o i tendini semitendinoso e gracile (autologhi). Grazie a tecniche chirurgiche moderne e a protocolli di riabilitazione post-operatoria personalizzati, il recupero è totale con ripresa dell’attività sportiva ai livelli pre-rottura del legamento

Distorsioni e lesioni capsulo-legamentose post-traumatiche

  • I meccanismi traumatici più frequenti in grado di provocare distorsioni del ginocchio sono il valgismo e rotazione esterna (lesione LCM ed LCA), e il varismo e rotazione interna (LCA). Meno frequenti i traumi in iperestensione o traumi diretti dall’avanti all’indietro (tipo da cruscotto, LCP). La gravità della distorsione viene classificata in tre gradi (stiramento, lesione parziale e lesione totale del legamento interessato che compromette la stabilità articolare). Alle lesioni dei legamenti possono associarsi lesioni meniscali e cartilaginee

Clinicamente il sintomo principale è il dolore tanto più intenso quanto più grave è la lesione. Nella rottura del LCA si verifica un versamento ematico all’interno del ginocchio (emartro) che può essere diagnostico. Può essere presente una limitazione funzionale che impedisce il carico e la deambulazione.

La diagnosi viene posta attraverso una scrupolosa anamnesi (importante la sensazione soggettiva del paziente al momento del trauma), una visita accurata che deve comprendere tutti i tests di lassita’ legamentosa specifici per ogni tipo di legamento interessato dalla lesione. Utili un esame radiografico per escludere lesioni fratturative associate e soprattutto una RMN ( per valutare il grado di lesione e per individuare eventuale presenza di edema della spongiosa post-trauma).

© 2020- Tutti i diritti riservati

PrivacyCookieInformativa Legale