© 2020- Tutti i diritti riservati
Radiografie post-operatorie in AP e LL di intervento chirurgico di protesi monocompartimentale mediale di ginocchio cementata. Questo tipo di protesi è utilizzabile in pazienti con artrosi localizzata in uno solo dei due compartimenti mediale o laterale e con integrità del LCA. Il recupero post-operatorio è più rapido rispetto ad una protesi totale di ginocchio
Radiografie post-operatorie in AP e LL di intervento chirurgico di artroprotesi cementata di ginocchio in pz donna con sovrappeso. In questo caso è stata utilizzata una protesi postero-stabilizzata (PS) con sacrificio quindi del legamento crociato posteriore (LCP)
Radiografie post-operatorie in AP e LL di intervento chirurgico di artroprotesi cementata di ginocchio. In questo caso è stata utilizzata una protesi a conservazione del LCP (CR) della stessa marca della protesi precedente
Radiografie post-operatorie in AP di interventi chirurgici di artroprotesi cementate di ginocchio eseguiti in due pz con allergia ai metalli (nichel). Sono state utilizzate due protesi di due arche differenti, entrambe anallergiche (nichel-free) con conservazione del LCP (CR)
A sinistra radiografia pre-operatoria in AP e a destra radiografia post-operatoria in AP di intervento chirurgico di artroprotesi cementata di ginocchio sinistro con conservazione LCP (CR). La pz 5 anni prima era stata sottoposta ad una meniscectomia in artroscopia per una lesione del menisco mediale e durante l’intervento era stata evidenziata una condropatia avanzata femoro-rotulea e del compartimento mediale. Nel corso degli anni successivi erano stati effettuati trattamenti infiltrativi con vari tipi di acido ialuronico e con PRP (medicina rigenerativa) traendo parziali e temporanei benefici
A sinistra radiografie pre-operatorie in AP e LL e a destra radiografia post-operatoria in AP di intervento chirurgico di artroprotesi cementata ginocchio sinistro a conservazione del LCP (CR). In questa pz ho utilizzato una protesi chiamata Persona proprio perché altamente anatomica, cioè molto rispettosa dell’anatomia del ginocchio del singolo paziente
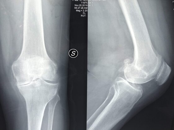
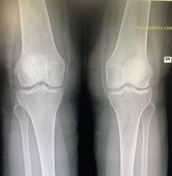
A sinistra radiografie pre-operatorie il AP e LL che evidenziano una grave gonartrosi diffusa con presenza di osteofiti periarticolari e deformità associata (ginocchio varo).
A destra radiografia post-operatoria in AP di intervento chirurgico di artroprotesi di ginocchio cementata, unico trattamento possibile con pz che presentava dolore continuo e zoppia. Ho utilizzato una protesi con risparmio del legamento crociato posteriore (CR) chiamata Persona proprio perché altamente anatomica, cioè molto rispettosa dell’anatomia del ginocchio del singolo paziente
A sinistra radiografie pre-operatorie il AP e LL che evidenziano una grave gonartrosi diffusa con presenza di osteofiti periarticolari e deformità associata (ginocchio varo).
A destra radiografia post-operatoria in AP e LL di intervento chirurgico di artroprotesi di ginocchio cementata, unico trattamento possibile con pz che presentava dolore continuo e zoppia. Ho utilizzato una protesi con risparmio del legamento crociato posteriore (CR) chiamata Persona proprio perché altamente anatomica, cioè molto rispettosa dell’anatomia del ginocchio del singolo paziente. La paziente presentava un sovrappeso per cui ho optato per una componente protesica tibiale con un fittone più lungo proprio per avere più resistenza
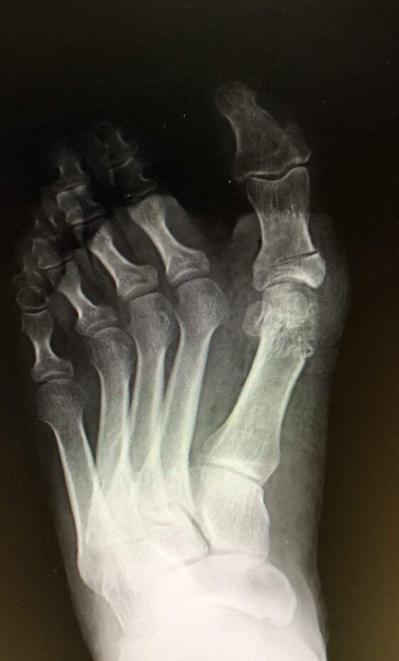
Radiografie post-operatorie in AP e LL di intervento di correzione di Alluce Valgo con tecnica mini-invasiva senza utilizzo di mezzi di sintesi metallici. Per l’osteotomia di correzione del I MT ho utilizzato un pin riassorbibile che quindi non è visulizzabile alle radiografie, mentre per l’osteotomia della prima falange del primo dito non ho utilizzato alcun mezzo di sintesi
Radiografie post-operatorie in AP di due interventi di correzione di Alluce Valgo con tecnica mini-invasiva senza utilizzo di mezzi di sintesi metallici. Per l’osteotomia di correzione del I MT ho utilizzato in entrambi i casi un pin riassorbibile che quindi non è visulizzabile alle radiografie. Nel caso a sinistra per l’osteotomia della prima falange del primo dito non ho utilizzato alcun mezzo di sintesi, nel caso a destra non ho effettuato l’osteotomia in quanto era presente un alluce valgo meno grave
In alto a sinistra foto pre-operatoria piede destro in pz con Alluce Valgo.
In alto a destra ed in basso a sinistra radiografie pre-operatorie dei piedi sotto carico in AP e LL. La pz è stata operata con accesso mini-invasivo, per l’osteotomia del I MT non sono stati utilizzati mezzi di sintesi metallici ma un pin riassorbibile; nel caso specifico non ho effettuato l’osteotomia di F1 I dito in quanto la qualità dell’osso non era ottimale


Nella foto voluminoso Neuroma di Morton III/IV MT del piede asportato con intervento chirurgico con accesso dorsale mini-invasivo in pz che aveva provato senza risultati sia infiltrazioni con cortisonico sia le radiofrequenze. La neoformazione è stata poi inviata in laboratorio per l’esame istologico che ha confermato la diagnosi di Neuroma di Morton
Nella foto voluminose calcificazioni asportate con intervento chirurgico con accesso mini-invasivo in pz con grave tendinopatia inserzionale tendine d’Achille e deformità di Haglund. Data la grandezza delle calcificazioni si è resa necessaria una sutura di rinforzo del tendine d’Achille
A sinistra foto intra-operatoria che evidenzia una rottura totale del tendine d’Achille con degenerazione del tessuto residuo. A destra foto intra-operatoria a fine intervento di puliziadel tendine (tenolisi) e tenorrafia (riparazione) complessa dello stesso con fili ad alta resistenza. Verrà poi eseguita una meticolosa sutura della ferita per strati, molto importante per evitare problemi di cicatrizzazione della stessa
Nella foto il tendine Semitendinoso (ST) che è stato prelevato dal pz stesso (autologo) ed è stato preparato e triplicato per poi essere impiantato a sostituire il LCA rotto. Foto scattata durante intervento chirurgico di Ricostruzione in artroscopia del legamento crociato anteriore (LCA). Per la fissazione del neo-legamento ho utilizzato un sistema a sospensione sul femore ed una vite riassorbibile sulla tibia
Radiografie post-operatorie in AP di interventi chirurgici di artroprotesi di anca.
In entrambi i casi è stata utilizzata una testa femorale in ceramica ed un inserto in polietilene per l’acetabolo.
A sinistra la protesi utilizzata è a stelo lungo in pz anziano (78 anni), mentre a destra ho utilizzato una protesi con stelo corto e risparmio di osso in quanto il pz era più giovane (65 anni)
A sinistra radiografia post-operatoria di intervento chirurgico di protesi anatomica spalla effettuato in pz con necrosi testa omerale e cuffia dei rotatori integra.
A destra radiografia post-operatoria di intervento chirurgico di protesi inversa spalla effettuato in pz con artrosi e rottura massiva cuffia dei rotatori
In alto a sinistra foto pre-operatoria del piede da operare affetto da cisti dorsale I MT-F ed esostosi dorsale testa I MT.
In alto a destra radiografia pre-operatoria sotto carico in LL che evidenzia la presenza dell’esostosi dorsale della testa del I MT causa del dolore nella deambulazione e nel calzare le comuni calzature.
In basso a sinistra radiografia post-operatoria in LL di intervento di asportazione cisti dorsale I MT-F ed asportazione esostosi dorsale testa I MT
© 2020- Tutti i diritti riservati