© 2020- Tutti i diritti riservati
TIPI DI TRATTAMENTO
- Farmaci anti-infiammatori, crioterapia locale (controllo del dolore e dell’infiammazione)
- Terapia fisica e riabilitazione (controllo del dolore e dell’infiammazione, limitazione ipotrofia muscolare, mantenimento del ROM, cioè del movimento articolare)
- Infiltrazione intra-articolare con acido ialuronico (terapia di mantenimento)
- Medicina Rigenerativa, ancora in fase di sperimentazione (infiltrazioni con PRP, cellule mesenchimali prelevate da tessuto adiposo e da midollo osseo, monociti)
- Intervento chirurgico di Artroscopia (artroplastica di regolarizzazione, sinoviectomia, asportazione corpi liberi, utile nei casi non gravi, da valutare bene oltre i 70 anni di età)
- Intervento chirurgico di Protesi totale di caviglia (indicata nelle artrosi avanzate e diffuse a tutta l’articolazione, ma rimane indicata in casi selezionati)
- Intervento chirurgico di Artrodesi di caviglia (procedura che comporta la fusione dell’articolazione con conseguente perdita del movimento, indicata nell’artrosi avanzata e diffusa a tutta l’articolazione e nei casi di gravi deformità post-traumatiche o congenite, e laddove non è possibile effettuare una sostituzione protesica)
Degenerazione della cartilagine articolare (Artrosi di caviglia o tibio-tarsica)
- L’ Artrosi è una malattia degenerativa articolare a carattere evolutivo, che origina dalla cartilagine articolare che tende ad assottigliarsi e a perdere le proprie caratteristiche biomeccaniche, e con il tempo coinvolge le altre componenti dell’articolazione. Nelle fasi avanzate della patologia l’osso diventa progressivamente più denso (sclerotico), la membrana sinoviale va incontro ad una sinovite reattiva, spesso si formano gli osteofiti periarticolari e cavità cistiche (geodi) nell’ osso sub-condrale. L’ esposizione dell’osso sub-condrale e delle terminazioni nervose sensitive sono responsabili del dolore e dei rumori di scroscio nei movimenti articolari. Il rimaneggiamento osseo può comportare una progressiva deformità per alterazione dei rapporti articolari e dell’asse di carico oltre che limitazione del movimento ed atteggiamenti viziosi dell’articolazione. A differenza del ginocchio in cui l’artrosi è nella maggior parte dei casi è primitiva, nella caviglia molto spesso l’artrosi è secondaria a traumi distorsivi e/o fratture
Clinicamente il sintomo principale è il dolore che saltuario nelle fasi iniziali (caratteristico andamento in tre tempi) diventa sempre più frequente ed intenso fino ad essere continuo e anche notturno e può accompagnarsi ad una zoppia di fuga durante la deambulazione. Sono presenti la limitazione funzionale con la riduzione della mobilità articolare e la rigidità articolare. Nelle fasi avanzate della patologia aumento di volume dell’ articolazione e sviluppo di deformità articolare.
La diagnosi viene posta mediante una visita accurata e si avvale principalmente dell’esame radiografico da effettuare sotto carico ed in comparativa con la caviglia controlaterale. A giudizio dell’ ortopedico può essere utile un esame RMN per approfondimento diagnostico.
TIPI DI TRATTAMENTO
- Farmaci anti-infiammatori, crioterapia locale (controllo del dolore e dell’infiammazione)
- Terapia fisica e riabilitazione (controllo del dolore e dell’infiammazione, limitazione ipotrofia muscolare, mantenimento del ROM, cioè del movimento articolare)
- Infiltrazione intra-articolare con acido ialuronico (terapia di mantenimento)
- Medicina Rigenerativa, ancora in fase di sperimentazione (infiltrazioni con PRP, cellule mesenchimali prelevate da tessuto adiposo e da midollo osseo, monociti)
- Intervento chirurgico di Artroscopia (artroplastica di regolarizzazione, sinoviectomia selettiva, asportazione corpi liberi, da valutare bene oltre i 70 anni di età)
- In caso di Osteocondrite Dissecante, inizialmente il trattamento è conservativo con riposo e controllo della progressione della lesione, il trattamento chirurgico può trovare indicazione per favorire la vascolarizzazione o per fissare il frammento per prevenirne il distacco, in caso di corpo libero si dovrà rimuoverlo associando o meno interventi in grado di ricostituire la porzione di cartilagine mancante
- Intervento chirurgico di Perforazioni o Microfratture osteocartilaginee (eseguite preferibilmente per via artroscopica alla scopo di stimolare la rigenerazione della cartilagine articolare)
- Intervento chirurgico di Innesti osteocondrali e Impianti di condrociti autologhi (indicato nei gravi difetti osteocondrali delle zone di carico, di dimensioni limitate, al massimo 1cm^2)
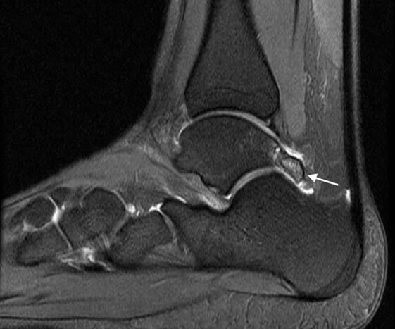
Lesioni della cartilagine articolare
- Le lesioni della cartilagine articolare si localizzano nelle aree di carico o di maggior attrito tra i capi ossei ed interessano zone limitate di cartilagine. Sono più colpiti soggetti in età giovanile o media, particolarmente quelli dediti ad attività sportive. Merita una menzione l’ Osteocondrite Dissecante, un difetto di ossificazione di una porzione di osso sub-condrale per lo più nell’astragalo, nel margine supero-mediale (a causa di fattori vascolari o di sviluppo) o in quello supero-laterale (nei traumi distorsivi) della troclea astragalica . I soggetti sono adolescenti o giovani adulti. Il frammento osteocondritico, di dimensioni variabili da pochi mm a un cm, può demarcarsi ed eventualmente distaccarsi formando uno o più corpi liberi intra-articolari o andare incontro a guarigione spontanea
Clinicamente nelle piccole lesioni il dolore può essere poco intenso e poco presente, ma con il progredire della patologia o durante attività fisica il dolore diventa frequente e più intenso e può accompagnarsi alla limitazione funzionale e talora ad idrarto ( un eccessivo accumulo di liquido sinoviale all’interno dell’articolazione che comporta tumefazione, limitazione della mobilità articolare e dolore ) causato dai frammenti di cartilagine che si distaccano dalla superficie articolare.
La diagnosi viene posta mediante una visita accurata e si avvale principalmentela della RMN ad alta risoluzione.

Nella foto a fianco esempio di intervento chirurgico Artroscopia di caviglia con accesso anteriore, che viene eseguito come abbiamo visto per il trattamento di numerose patologie articolari
TIPI DI TRATTAMENTO
- Farmaci anti-infiammatori, crioterapia locale (controllo del dolore e dell’infiammazione)
- Terapia fisica e riabilitazione (controllo del dolore e dell’infiammazione, recupero nelle lesioni di I e II grado)
- Magnetoterapia in caso di edema spongiosa, anche in preparazione di un intervento chirurgico
- Trattamento conservativo (trattamento funzionale) con confezionamento di un bendaggio con colla di zinco che mantenga la caviglia in posizione corretta per 2-3 settimane concedendo al paziente un carico parziale con stampelle, e successivamente applicazione di un tutore tipo air-cast per ulteriori 2-3 settimane in base alla gravita e al tipo di lesioni
- Intervento chirurgico di Ricostruzione Legamentosa nelle lesioni di III grado con lassita’ articolare cronica caratterizzata da frequenti distorsioni o cedimenti anche per minime sollecitazioni. Intervento chirurgico di riduzione della pinza nelle gravi diastasi della pinza malleolare spesso associate a riduzione ed osteosintesi delle fratture malleolari presenti
- In particolare La Ricostruzione del Legamento Peroneo-Astragalico Anteriore è un intervento oggi sempre più eseguito con percentuali di successo molto elevate. Viene effettuato nei casi di lesione di alto grado con instabilità cronica in pz giovani o meno giovani che praticano attività sportiva agonistica o amatoriale. Per la ricostruzione chirurgica sono a disposizione diverse tecniche chirurgiche moderne a secondo del caso clinico e ci sono protocolli di riabilitazione post-operatoria personalizzati, il recupero è totale con ripresa dell’attività sportiva ai livelli pre-rottura del legamento
Distorsioni e lesioni capsulo-legamentose post-traumatiche
- I meccanismi traumatici più frequenti in grado di provocare distorsioni della caviglia sono l’inversione ossia con l’interessamento dei legamenti del compartimento esterno (il più frequente, combinazione di adduzione, varismo e supinazione), l’eversione con lesione del legamento deltoideo e l’iperflessione dorsale con interessamento della sindesmosi tibio-peroneale distale e possibile diastasi della pinza malleolare. La gravità della distorsione viene classificata in tre gradi (stiramento, lesione parziale e lesione totale del legamento interessato che compromette la stabilità articolare). Alle lesioni dei legamenti possono associarsi lesioni cartilaginee e fratture malleolari
Clinicamente il sintomo principale è il dolore tanto più intenso quanto più grave è la lesione. Nelle ore successive il trauma compare una tumefazione più o meno marcata ed estesa con possibili ecchimosi. Può essere presente una limitazione funzionale che impedisce il carico e la deambulazione.
La diagnosi viene posta attraverso una scrupolosa anamnesi (importante la sensazione soggettiva del paziente al momento del trauma), una visita accurata che deve comprendere tutti i tests di lassita’ legamentosa specifici per ogni tipo di legamento interessato dalla lesione. Utili un esame radiografico per escludere lesioni fratturative associate e soprattutto una RMN ( per valutare il grado di lesione e per individuare eventuale presenza di edema della spongiosa post-trauma).
Sindrome da “impingement” o sindrome da conflitto
- Patologia che insorge quando due strutture entrano in conflitto tra loro, provocando una limitazione articolare ed un forte dolore localizzato. La causa di solito è traumatica. La sindrome da impingement ossea è causata da un osteofita osteo-cartilagineo che si forma in seguito a sovraccarico, microtraumi o traumi ripetuti, e si localizza generalmente vicino al margine anteriore della superficie articolare anteriore della tibia; spesso si forma un osteofita opponente sul versante anteriore dell’astragalo. Ciò determina oltre al dolore una riduzione del movimento articolare specialmente nella flessione, pseudoblocchi articolari e gonfiore. La sindrome da impingement fibrosa può avvenire in seguito ad una distorsione o a più episodi distorsivi recidivanti a causa dei quali i tessuti molli cicatrizzano con abbondanza di tessuto, provocando ipertrofia della sinovia che determina un’alterazione della biomeccanica della caviglia ostacolandone il movimento. A seconda della localizzazione la sindrome può essere antero-laterale o mediale, postero-laterale o mediale. Un caso a parte è la lesione meniscoide. Il corpo meniscoide è un piccolo nodulo che si trova a livello del legamento talo-fibulare anteriore, rivestito dalla ne,brava sinoviale. A causa di un evento traumatico questo legamento capsulare può venire schiacciato fra il malleolo laterale e l’astragalo, lasciando dei monconi e provocando una sinovite persistente che porta nel tempo ad una tumefazione permanete fibrotica
Clinicamente il dolore è molto caratteristico, è localizzato nella maggior parte dei casi sulla parte esterna della caviglia ed assomiglia alla puntura di un ago, si avverte maggiormente camminando nei terreni accidentati o nei cambi di pendenza. Possibile anche la limitazione articolare ed il gonfiore.
La diagnosi viene posta con una visita accurata ed appropriati tests clinici ed una RMN.
Il trattamento è nella maggior parte dei casi chirurgico. In artroscopia con appositi strumenti si esegue la rimozione dell’osteofita o della lesione meniscoide.
Os Trigonum
- Embriologicamente il corpo dell’astragalo e il suo processo posteriore sono centri di ossificazione differenti. Tra il settimo e il tredicesimo anno di vita è visibile un nucleo di accrescimento osseo, l’ Os Trigonum, che normalmente si fonde con il processo posteriore dell’astragalo entro un anno dalla sua comparsa radiografica. Se questo processo non avviene il corpo dell’astragalo rimarrà separato dall’os trigonum anche in età adulta diventando così un osso accessorio a volte doloroso. Circa 7 persone su 100 hanno l’os trigonum. Di solito l’osso è presente bilateralmente e ha forma triangolare e non supera 1cm di grandezza. Il tendine del flessore lungo dell’alluce è situato appena mediamente all’os trigonum e questo rapporto anatomico è causa della sindrome dell’impingement posteriore di caviglia (PAI), una tipica patologia dei ballerini (soprattutto di danza classica) e di chi in generale ripetutamente effettua una flessione plantare della caviglia causando un effetto “schiaccianoci” sulla caviglia posteriore che si infiamma cronicamente causando dolore ed impotenza funzionale e gonfiore posteriore associato che riduce ulteriormente la capacità di plantarflettere il collo-piede riducendo la performance dell’atleta o del ballerino.
Clinicamente i sintomi principali sono il dolore nella regione posteriore della caviglia ed il gonfiore associato che causano un’impotenza funzionale. La sintomatologia a volte può essere importante con un esercito acuto, in questi casi avviene una vera e propria frattura dell’os trigonum che si distacca dal corpo astragalico.
La diagnosi viene posta con una visita accurata e l’ausilio di una radiografia in laterale sotto carico e di una RMN ad alta risoluzione.
Il trattamento può essere conservativo o chirurgico. Inizialmente ci si avvale di terapie fisiche e crioterapia locale per il controllo del dolore e dell’infiammazione. L’eventuale trattamento chirurgico consiste nell’asportazione dell’os trigonum per via artroscopica con accesso posteriore. L’intervento è poco invasivo, in day-hospital, l’anestesia è loco-regionale, la ripresa è rapida e con buoni risultati clinici e funzionali seguendo un adeguato protocollo riabilitativo.
A sinistra esempio di immagine radiografica e a destra di immagine RMN che evidenziano voluminosi Os Trigonum che dovranno essere asportati per via artroscopica con accesso posteriore come nella foto sotto.
© 2020- Tutti i diritti riservati